METAL CERAMICA - PROTESICO DENTAL BURGOS. LABORATORIO DE PROTESIS DENTAL ALBERTO RODRIGUEZ IZQUIERDO
Buscar
Vaya al Contenido
Menu Principal:
×
INICIO
EMPRESA
LABORATORIO
TECNOLOGIA
PROFESIONALIDAD
TRABAJOS
METAL CERAMICA
ZIRCONIO
IMPLANTES
REMOVIBLE
BARRAS Y ATTACHES
GRADIA
CONTACTO
METAL CERAMICA
ZIRCONIO
IMPLANTES
REMOVIBLE
BARRAS Y ATTACHES
GRADIA
TRABAJOS
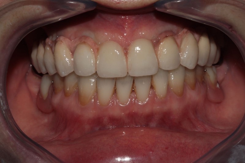
METAL CERAMICA
Fabricamos las coronas y los puentes con metal y cerámica de una calidad contrastada, dando el ajuste y anatomía que correspondan a cada paciente.
El metal empleado puede ser por colado o escaneado.
INICIO
|
EMPRESA
|
LABORATORIO
|
TRABAJOS
|
CONTACTO
|
Mapa general del sitio
©Alberto Rodríguez - LABORATORIO DE PROTESIS DENTAL
info@protesicodentalburgos.com
Regreso al contenido
|
Regreso al menu principal
Para utilizar este sitio tienes que habilitar JavaScript.