ZIRCONIO - PROTESICO DENTAL BURGOS. LABORATORIO DE PROTESIS DENTAL ALBERTO RODRIGUEZ IZQUIERDO
Buscar
Vaya al Contenido
Menu Principal:
×
INICIO
EMPRESA
LABORATORIO
TECNOLOGIA
PROFESIONALIDAD
TRABAJOS
METAL CERAMICA
ZIRCONIO
IMPLANTES
REMOVIBLE
BARRAS Y ATTACHES
GRADIA
CONTACTO
METAL CERAMICA
ZIRCONIO
IMPLANTES
REMOVIBLE
BARRAS Y ATTACHES
GRADIA
TRABAJOS
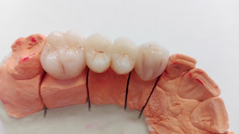
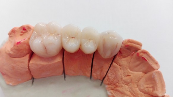
ZIRCONIO
El zirconio es un material traslúcido que se mimetiza perfectamente en la boca puesto que no se ve la unión del cuello oscura, con lo cual resulta una restauración muy sugerente para grupos anteriores.
INICIO
|
EMPRESA
|
LABORATORIO
|
TRABAJOS
|
CONTACTO
|
Mapa general del sitio
©Alberto Rodríguez - LABORATORIO DE PROTESIS DENTAL
info@protesicodentalburgos.com
Regreso al contenido
|
Regreso al menu principal
Para utilizar este sitio tienes que habilitar JavaScript.